Necrotizing fasciitis

From Libre Pathology
Revision as of 19:42, 28 May 2021 by Michael (talk | contribs) (→‎Microscopic)
(diff) ← Older revision | Latest revision (diff) | Newer revision → (diff)
Jump to navigation Jump to search
Necrotizing fasciitis
Diagnosis in short

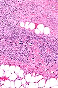
Necrotizing fasciitis. H&E stain.

LM necrotic fascia - amorphous grey or pink material and neutrophils
LM DDx vasculitis
Gross sloughing, bulae, erythema
Site skin / subcutaneous tissue

Clinical history +/-trauma
Signs subcutaneous emphysema, edema, skin sloughing, bulae, erythema, signs of sepsis
Symptoms pain
Prevalence uncommon
Prognosis poor
Clin. DDx cellulitis, abscess
Treatment surgical debridement, antibiotics

Necrotizing fasciitis, also known as flesh-eating disease, is an uncommon non-malignant skin disease with a high mortality.

It should not to be confused with nodular fasciitis.

In the perineum/genital region it is known as Fournier gangrene.[1]

General

Clinical:

  • Pain - classically out-of-keep with appearance.
  • Features of sepsis - late.
  • Often nonspecific.[2]

Clinical DDx:

Epidemiology:

  • Classically associated with Group A streptococcus.
  • High mortality.[2]
  • Usually adults, sometimes children.

Treatment:

  • Operative debridement - emergency.[2]
  • Broad spectrum antibiotics.

Note:

Gross

Features:[4]

  • Subcutaneous emphysema.
  • Edema.
  • Erythema.
  • Bulae.
  • Skin sloughing.

Image

Microscopic

Features:

  • Necrosis of fascia - key feature.[5]
    • PMNs and necrotic debris (amorphous grey or pink material).
  • +/-Vascular thrombosis.[6]

Note:

  • Fat lobules between septae may be normal.

DDx:

Images

Sign out

Perianal Skin and Subcutaneous Tissue, Excision:
- Consistent with clinical impression of necrotizing fasciitis.

Alternate

Submitted as "Tissue from Left Elbow", Excision:
     - Skin and subcutaneous tissue with marked inflammation (see microscopic), 
       consistent with clinical impression of necrotizing fasciitis. 

Comment:
The positive tissue cultures are noted.

Micro

Necrotic fascial tissue with inflamed adipose tissue and micro-abscess formation at dermis/subcutis interface. The overlying skin is moderately inflamed and edematous appearing.

See also

References

  1. Haemers, K.; Peters, R.; Braak, S.; Wesseling, F. (2013). "Necrotising fasciitis of the thigh.". BMJ Case Rep 2013. doi:10.1136/bcr-2013-009331. PMID 23771967.
  2. 2.0 2.1 2.2 Lancerotto, L.; Tocco, I.; Salmaso, R.; Vindigni, V.; Bassetto, F. (Mar 2012). "Necrotizing fasciitis: classification, diagnosis, and management.". J Trauma Acute Care Surg 72 (3): 560-6. doi:10.1097/TA.0b013e318232a6b3. PMID 22491537.
  3. Majeski, J.; Majeski, E. (Nov 1997). "Necrotizing fasciitis: improved survival with early recognition by tissue biopsy and aggressive surgical treatment.". South Med J 90 (11): 1065-8. PMID 9386043.
  4. Schuster, L.; Nuñez, DE. (Apr 2012). "Using clinical pathways to aid in the diagnosis of necrotizing soft tissue infections synthesis of evidence.". Worldviews Evid Based Nurs 9 (2): 88-99. doi:10.1111/j.1741-6787.2011.00235.x. PMID 22151905.
  5. Wong, CH.; Wang, YS. (Apr 2005). "The diagnosis of necrotizing fasciitis.". Curr Opin Infect Dis 18 (2): 101-6. PMID 15735411.
  6. Malghem, J.; Lecouvet, FE.; Omoumi, P.; Maldague, BE.; Vande Berg, BC. (Mar 2013). "Necrotizing fasciitis: contribution and limitations of diagnostic imaging.". Joint Bone Spine 80 (2): 146-54. doi:10.1016/j.jbspin.2012.08.009. PMID 23043899.