Parathyroid carcinoma

From Libre Pathology
Revision as of 00:41, 24 March 2019 by Michael (talk | contribs)
Jump to navigation Jump to search

Parathyroid carcinoma is a rare epithelial malignancy of the parathyroid gland.

General

  • Extremely rare.

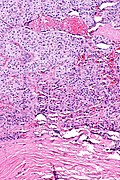
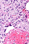
Microscopic

Features:[1]

  • Histologically normal parathyroid cells.
    • Cytologic features not reliable for diagnosis.
  • Fibrous capsule.
  • Invasion of surrounding tissue - key feature.
  • +/-Metastasis - diagnostic feature.

Note:

  • Diagnosis of parathyroid carcinoma is like that of malignant pheochromocytoma - cytology useless, tissue invasion and metastases are the key features.

Images

IHC

  • Ki-67 >6% of cells positive - supports diagnosis.[2]
    • Parathyroid adenomas and hyperplasias ~ 3%.

See also

References

  1. Kumar, Vinay; Abbas, Abul K.; Fausto, Nelson; Aster, Jon (2009). Robbins and Cotran pathologic basis of disease (8th ed.). Elsevier Saunders. pp. 1128. ISBN 978-1416031215.
  2. Abbona, GC.; Papotti, M.; Gasparri, G.; Bussolati, G. (Feb 1995). "Proliferative activity in parathyroid tumors as detected by Ki-67 immunostaining.". Hum Pathol 26 (2): 135-8. PMID 7860042.