Keloid

From Libre Pathology
Revision as of 14:16, 28 February 2017 by Michael (talk | contribs) (→‎Microscopic)
(diff) ← Older revision | Latest revision (diff) | Newer revision → (diff)
Jump to navigation Jump to search
Keloid
Diagnosis in short

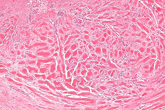
Keloid. H&E stain.

LM thick collagen bundles - surrounded by paler staining fibroblasts, loss of adnexal structures
LM DDx hypertrophic scar, keloidal dermatofibroma
Site skin

Clinical history typically dark skinned individuals, prior trauma, burn or surgery
Prognosis benign
Treatment intralesional steroid, radiotherapy, surgery
Keloid
External resources
Wikipedia keloid
Hypertrophic scar redirects here.

Keloid is an uncommon abnormal scarring of the skin that extends beyond the boundaries of the initial injury.

General

  • Sites of previous trauma/surgery/burn, especially in dark skinned individuals.[1]
  • Various treatments:
    • Surgery.
    • Radiotherapy.
    • Injections: corticosteroid such as triamcinolone acetonide (Kenalog).[2][3]

Note:

  • Reported as "keloidal-type collagen"; the clinician decides between hypertrophic scar and keloid.
    • A keloid grows beyond the boundaries of the injury site,[4] a hypertrophic scar does not.

Gross

  • Scar formation beyond the initial injury site.

Image

Microscopic

Features:[1]

  • Thick collagen bundles - surrounded by paler staining fibroblasts - key feature.
  • Lesion replaces adnexal structures, e.g. hair, sweat glands.

DDx:

Images

www:

Sign out

SKIN LESION, LEFT SCAPULA, EXCISION:
- DERMAL SCAR WITH KELOIDAL-TYPE COLLAGEN, SEE COMMENT.

COMMENT:
The findings are consistent with a hypertrophic scar or keloid; clinical correlation is required.

Clinical provided

SKIN LESION, LEFT NIPPLE AREOLA, EXCISION:
- DERMAL SCAR WITH KELOIDAL-TYPE COLLAGEN, CONSISTENT WITH HYPERTROPHIC SCAR.

See also

References

  1. 1.0 1.1 Humphrey, Peter A; Dehner, Louis P; Pfeifer, John D (2008). The Washington Manual of Surgical Pathology (1st ed.). Lippincott Williams & Wilkins. pp. 492. ISBN 978-0781765275.
  2. Acosta, S.; Ureta, E.; Yañez, R.; Oliva, N.; Searle, S.; Guerra, C. (Jan 2016). "Effectiveness of Intralesional Triamcinolone in the Treatment of Keloids in Children.". Pediatr Dermatol 33 (1): 75-9. doi:10.1111/pde.12746. PMID 26758090.
  3. Trisliana Perdanasari, A.; Lazzeri, D.; Su, W.; Xi, W.; Zheng, Z.; Ke, L.; Min, P.; Feng, S. et al. (Nov 2014). "Recent developments in the use of intralesional injections keloid treatment.". Arch Plast Surg 41 (6): 620-9. doi:10.5999/aps.2014.41.6.620. PMID 25396172.
  4. Kelly, AP. (Jun 2009). "Update on the management of keloids.". Semin Cutan Med Surg 28 (2): 71-6. doi:10.1016/j.sder.2009.04.002. PMID 19608056.
  5. Gauglitz, GG.; Korting, HC.; Pavicic, T.; Ruzicka, T.; Jeschke, MG.. "Hypertrophic scarring and keloids: pathomechanisms and current and emerging treatment strategies.". Mol Med 17 (1-2): 113-25. doi:10.2119/molmed.2009.00153. PMC 3022978. PMID 20927486. https://www.ncbi.nlm.nih.gov/pmc/articles/PMC3022978/.
  6. Kuo, TT.; Hu, S.; Chan, HL. (May 1998). "Keloidal dermatofibroma: report of 10 cases of a new variant.". Am J Surg Pathol 22 (5): 564-8. PMID 9591726.