Pankeratin

From Libre Pathology
Revision as of 03:28, 2 August 2016 by Michael (talk | contribs) (add image/fix)
Jump to navigation Jump to search

Pankeratin (abbreviated panker), also known as pancytokeratin, refers to an immunostain that markers abroad array of keratins.

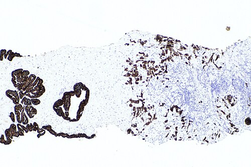
Pankeratin immunostain showing benign prostatic glands (left of image) and prostatic carcinoma (right of image).

Several pankeratins exists;[1] thus, pankeratin as a descriptor is not very specific.

To confuse things further keratin may be used as a synonym.

Several pankeratins:

See also

References

  1. 1.0 1.1 1.2 1.3 Xu, X.; Roberts, SA.; Pasha, TL.; Zhang, PJ. (Sep 2000). "Undesirable cytokeratin immunoreactivity of native nonepithelial cells in sentinel lymph nodes from patients with breast carcinoma.". Arch Pathol Lab Med 124 (9): 1310-3. doi:10.1043/0003-9985(2000)124<1310:UCIONN>2.0.CO;2. PMID 10975928.