Lymphocytic gastritis

From Libre Pathology
Revision as of 16:04, 10 July 2016 by Michael (talk | contribs) (→‎IHC)
(diff) ← Older revision | Latest revision (diff) | Newer revision → (diff)
Jump to navigation Jump to search
Lymphocytic gastritis
Diagnosis in short

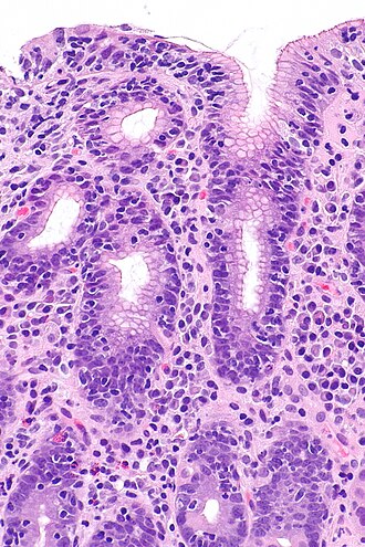
Lymphocytic gastritis. H&E stain. (WC/Nephron)

LM intraepithelial lymphocytes (>25 lymphocytes/100 epithelial cells)
Subtypes primary (idiopathic), secondary
LM DDx Helicobacter gastritis, Crohn's disease, lymphoma
Site stomach

Associated Dx celiac disease (common), HIV
Clinical history dependent on underlying cause
Prevalence rare
Prognosis benign
Treatment dependent underlying cause

Lymphocytic gastritis, abbreviated LG, is a rare form of gastritis, typically associated with celiac disease or Helicobacter pylori infection.

General

The DDx is limited:

  1. Celiac disease - most common (39 of 82 cases in one series[1]).
  2. Helicobacter gastritis - common (30 of 82 cases in one series[1]).
  3. Idiopathic.
  4. HIV/AIDS.
  5. Crohn's disease.
  6. Lymphoma.

Microscopic

Features:[2]

  • 25 lymphocytes / 100 epithelial cells.

DDx:

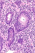
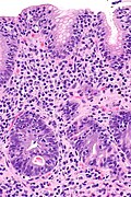
Images

IHC

  • Lymphocytes CD8 predominant; can be used to help exclude MALT lymphoma.

See also

References

  1. 1.0 1.1 Wu, TT.; Hamilton, SR. (Feb 1999). "Lymphocytic gastritis: association with etiology and topology.". Am J Surg Pathol 23 (2): 153-8. PMID 9989841.
  2. Feeley, KM.; Heneghan, MA.; Stevens, FM.; McCarthy, CF. (Mar 1998). "Lymphocytic gastritis and coeliac disease: evidence of a positive association.". J Clin Pathol 51 (3): 207-10. PMID 9659261.