Chorioamnionitis
Chorioamnionitis is a common pathology of the placenta.
| Chorioamnionitis | |
|---|---|
| Diagnosis in short | |
|
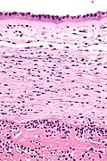
Template:Px Chorioamnionitis. H&E stain. | |
|
| |
| LM | neutrophils present in the amnion, usu. associated with abundant subchorionic neutrophils |
| LM DDx | membranitis |
| Gross | +/-opaque membranes |
| Site | placenta |
|
| |
| Associated Dx | umbilical cord vasculitis, funisitis, placental meconium |
| Clinical history | +/-premature rupture of membranes, +/-preterm labour, +/-failure to progress |
| Signs | fetal tachycardia, maternal fever, nonreassuring fetal heart rate |
| Prevalence | common |
| Prognosis | good |
| Clin. DDx | other causes of maternal fever and fetal tachycardia |
| Treatment | antibiotics |
General
- Associated with pre-term labour.[1]
- Classically described as due to an ascending infection.
- At term usually non-infectious.[2]
Clinical features:
- Maternal fever.
- Premature rupture of membranes (PROM).
- Non-reassuring fetal heart rate (NRFHR).
Management:
- Antibiotics - usually ampicillin and gentamicin.[3]
Gross
- Fetal membranes dull/opaque.
Microscopic
Features:
- Neutrophils in the amnion.
- Amnion:
- The simple cuboidal epithelium and the paucicellular underlying connective tissue.
- Separated from the chorion by an artefactual cleft.
- Amnion:
- +/-Microorganisms (e.g. cocci[4]) - very uncommon to see.
Note:
- Severe cases may have umbilical cord vasculitis or funisitis.
DDx:
- Membranitis.
- Placental meconium - associated with degeneration (apoptotic cells).
- Intramembrane bleed - rare neutrophils with red blood cells in the amnion without significant neutrophils in the chorion and decidua.
Images
- Chorioamnionitis - low mag.jpg
Chorioamnionitis - low mag. (WC)
- Chorioamnionitis - high mag.jpg
Chorioamnionitis - high mag. (WC)
- Chorioamnionitis -2- very high mag.jpg
Chorioamnionitis - very high mag. (WC)
Grading chorioamnionitis
Chorioamnionitis:[5]
- placental chorionic plate only.
- 1 + subamniotic tissue.
- 1 or 2 + necrosis or abscess.
Sign out
PLACENTA, UMBILICAL CORD AND FETAL MEMBRANES, CESAREAN SECTION: - CHORIOAMNIONITIS. - FETAL MEMBRANES NEGATIVE FOR MECONIUM. - THREE VESSEL UMBILICAL CORD WITHIN NORMAL LIMITS. - PLACENTAL DISC WITH THIRD TRIMESTER VILLI. - THROMBUS OF THE PLACENTAL DISC (1.3 CM - MAXIMAL DIMENSION).
Chorioamnionitis with vasculitis
PLACENTA, UMBILICAL CORD AND FETAL MEMBRANES, CESAERIAN SECTION: - CHORIOAMNIONITIS, MODERATE. - THREE VESSEL UMBILICAL CORD WITH VASCULITIS, EARLY. - FETAL MEMBRANES NEGATIVE FOR MECONIUM. - PLACENTAL DISC WITH THIRD TRIMESTER VILLI.
Chorioamnionitis with funisitis
PLACENTA, UMBILICAL CORD AND FETAL MEMBRANES, CESAERIAN SECTION: - CHORIOAMNIONITIS, MODERATE. - THREE VESSEL UMBILICAL CORD WITH FUNISITIS, MILD. - FETAL MEMBRANES NEGATIVE FOR MECONIUM. - PLACENTAL DISC WITH THIRD TRIMESTER VILLI. - THROMBUS OF THE PLACENTAL DISC (1.3 CM - MAXIMAL DIMENSION).
See also
References
- ↑ Martinelli, P.; Sarno, L.; Maruotti, GM.; Paludetto, R. (Oct 2012). "Chorioamnionitis and prematurity: a critical review.". J Matern Fetal Neonatal Med 25 Suppl 4: 29-31. doi:10.3109/14767058.2012.714981. PMID 22958008.
- ↑ Roberts, DJ.; Celi, AC.; Riley, LE.; Onderdonk, AB.; Boyd, TK.; Johnson, LC.; Lieberman, E. (2012). "Acute histologic chorioamnionitis at term: nearly always noninfectious.". PLoS One 7 (3): e31819. doi:10.1371/journal.pone.0031819. PMID 22412842.
- ↑ Tita, AT.; Andrews, WW. (Jun 2010). "Diagnosis and management of clinical chorioamnionitis.". Clin Perinatol 37 (2): 339-54. doi:10.1016/j.clp.2010.02.003. PMC 3008318. PMID 20569811. https://www.ncbi.nlm.nih.gov/pmc/articles/PMC3008318/.
- ↑ Murdoch, DA. (Jan 1998). "Gram-positive anaerobic cocci.". Clin Microbiol Rev 11 (1): 81-120. PMC 121377. PMID 9457430. https://www.ncbi.nlm.nih.gov/pmc/articles/PMC121377/.
- ↑ Mills, Stacey E; Carter, Darryl; Greenson, Joel K; Oberman, Harold A; Reuter, Victor E (2004). Sternberg's Diagnostic Surgical Pathology (4th ed.). Lippincott Williams & Wilkins. pp. 2311. ISBN 978-0781740517.