Sinus histiocytosis
Jump to navigation
Jump to search
Sinus histiocytosis, abbreviated SH, is a common finding in lymph nodes.
It should not be confused with Rosai-Dorfman disease (also known as sinus histiocytosis and massive lymphadenopathy).
General
- Benign.
- Non-specific finding.
- Reported in association with hip replacements.[1]
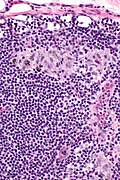
Microscopic
Features:[2]
- Sinuses distended with histiocytes - key feature.
- Plasma cells increased.
DDx:
- Rosai-Dorfman disease - histiocyte nuclei large (~2-3x lymphocyte) and round with a prominent nucleolus.
- Dermatopathic lymphadenopathy - histiocytes have (melanin) pigment.
- Lymph node metastasis - usually not difficult if one compares with the primary tumour and germinal center macrophages.
Images
Sign out
- The finding is often ignored; may be signed out as morphologically benign lymph nodes.
See also
References
- ↑ Albores-Saavedra, J.; Vuitch, F.; Delgado, R.; Wiley, E.; Hagler, H. (Jan 1994). "Sinus histiocytosis of pelvic lymph nodes after hip replacement. A histiocytic proliferation induced by cobalt-chromium and titanium.". Am J Surg Pathol 18 (1): 83-90. PMID 8279630.
- ↑ Ioachim, Harry L; Medeiros, L. Jeffrey (2008). Ioachim's Lymph Node Pathology (4th ed.). Lippincott Williams & Wilkins. pp. 179. ISBN 978-0781775960.