Nodular fasciitis

From Libre Pathology
Revision as of 03:01, 29 September 2013 by Michael (talk | contribs) (+infobox)
Jump to navigation Jump to search
Nodular fasciitis
Diagnosis in short

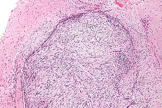
Nodular fasciitis. H&E stain.

LM usu. well-circumscribed, clusters of (non-pleomorphic) spindle cells, inflammation (lymphocytes), microcysts in cellular regions - uncommon, mitoses - common, extravasated RBCs.
Site soft tissue

Clinical history associated with trauma
Prevalence uncommon
Prognosis benign

Nodular fasciitis is an uncommon soft tissue lesion. It should not to be confused with necrotizing fasciitis.

General

  • Benign.
  • All age groups.
  • Associated with trauma.

Microscopic

Features:[1][2]

  • Usu. well-circumscribed.
  • Clusters of (non-pleomorphic) spindle cells.
  • Inflammation (lymphocytes).
  • Microcysts in cellular regions - uncommon - discriminatory.
  • Mitoses - common.
  • Extravasated RBCs.

The BD feature list:[3][4]

  • Tissue culture-like/CNS-like morphology.
  • Thick (keloid-like) collagen bundles - key feature.
  • Extravasated RBCs.
  • Inflammation.
  • +/-Giant cells.

Notes:

  • No significant nuclear atypia.
  • No atypical mitoses.
  • May be cellular.

DDx:[5]

Images

www:

IHC

Routine spindle cell panel:

  • CD34 -ve.
  • Desmin -ve.
  • SMA -ve.
  • S100 -ve.
  • AE1/AE3 -ve.

Others:

  • H-caldesmon -ve.
  • EMA -ve.
  • Vimentin +ve.

Molecular

  • Evolving - case reports.
    • t(15;15)(q13;q25).[6]

See also

References

  1. Humphrey, Peter A; Dehner, Louis P; Pfeifer, John D (2008). The Washington Manual of Surgical Pathology (1st ed.). Lippincott Williams & Wilkins. pp. 606. ISBN 978-0781765275.
  2. de Feraudy S, Fletcher CD (September 2010). "Intradermal nodular fasciitis: a rare lesion analyzed in a series of 24 cases". Am. J. Surg. Pathol. 34 (9): 1377–81. doi:10.1097/PAS.0b013e3181ed7374. PMID 20716998.
  3. Dickson, B. 26 April 2011.
  4. URL: http://anvita.info/wiki/Nodular_Fasciitis. Accessed on: 11 November 2011.
  5. URL: http://www.mckeedermpath.com/SPOT%20DIAGNOSIS%20CASE%20268.html. Accessed on: 11 November 2011.
  6. Velagaleti GV, Tapper JK, Panova NE, Miettinen M, Gatalica Z (March 2003). "Cytogenetic findings in a case of nodular fasciitis of subclavicular region". Cancer Genet. Cytogenet. 141 (2): 160–3. PMID 12606136.