Gallbladder cholesterolosis

From Libre Pathology
Revision as of 15:49, 27 September 2013 by Michael (talk | contribs)
Jump to navigation Jump to search

Gallbladder cholesterolosis, also known simply as cholesterolosis, is a common gallbladder pathology associated with chronic cholecystitis.

Gallbladder cholesterolosis
Diagnosis in short

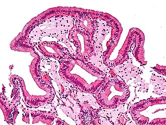
Gallbladder cholesterolosis. H&E stain.

LM abundant foamy macrophages in the lamina propria, +/-papillary hyperplasia
Gross gallbladder mucosa with strawberry-like texture
Site gallbladder

Associated Dx chronic cholecystitis, obesity, cholelithiasis
Clinical history biliary colic - due to chronic cholecystitis
Prevalence common
Prognosis benign

Informally, gallbladder cholesterolosis is known as strawberry gallbladder.

General

Gross

Features:

  • Mucosa has strawberry-like appearance.
    • The similarity is in the surface texture.
    • The colour (yellow) is not strawberry-like.

Image

Microscopic

Features:

  • Numerous foamy macrophages in the lamina propria.
  • +/-Papillary hyperplasia.[1]

Image

www:

Sign out

GALLBLADDER, CHOLECYSTECTOMY:
- CHRONIC CHOLECYSTITIS WITH CHOLESTEROLOSIS.
- CHOLELITHIASIS.
GALLBLADDER, CHOLECYSTECTOMY:
- CHRONIC CHOLECYSTITIS WITH FOCAL FOAMY MACROPHAGES IN LAMINA PROPRIA.
- CHOLELITHIASIS.

See also

References

  1. Celoria, GC.; Rodríguez Otero, JC.; Proske, SA.; Vallilengua, C. (1994). "Papillary hyperplasia and cholesterolosis of the gallbladder.". Medicina (B Aires) 54 (1): 31-4. PMID 7990683.