Celiac sprue
Jump to navigation
Jump to search
Celiac sprue, also celiac disease, is a common pathology that affects the duodenum.
| Celiac sprue | |
|---|---|
| Diagnosis in short | |
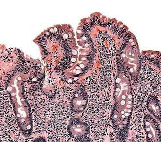
|
Celiac disease. H&E stain. | |
|
| |
| LM | Intraepithelial lymphocytes +/- villous blunting |
| LM DDx | Giardiasis, lymphoma |
| Site | Duodenum. |
|
| |
| Prevalence | Uncommon |
| Clin. DDx | Normal. |
It should not be confused with tropical sprue.
An introduction to gastrointestinal pathology is in the gastrointestinal pathology article. It covers basic gastrointestinal histology.
Etiology
- Autoimmune.
Epidemiology
Associated with:
- Dermatitis herpetiformis - skin condition.[1]
- Tx: dapsone.
- IgA deficiency - 10-15X more common in celiac disease vs. healthy controls.[2]
- Risk factor for gastrointestinal T cell lymphoma - known as: enteropathy-associated T cell lymphoma (EATL).
- IgA nephropathy is associated with an increased frequency of celiac disease.[3]
- Esophageal squamous cell carcinoma - increased risk.[4]
- Small bowel adenocarcinoma - increased risk.[5][6]
Variants of celiac sprue
- Latent celiac sprue.
- ONLY intraepithelial lymphocytes.
- NO villous arch. change.
- Refractory celiac sprue.
- Subclassified - see microscopic.
- Collagenous sprue.
- Abundant mucosal collagen - see microscopic.
Clinical
Treatment
- Gluten free diet.
- Mnemonic: BROW = barley, rye, oats, wheat.
Serologic testing
Microscopic
Features:[9]
- Intraepithelial lymphocytes (IELs) - key feature.
- Loss of villi - important feature.
- Normal duodenal biopsy should have 3 good villi.
- Plasma cells - abundant (weak feature).
- Macrophages.
- Mitosis increased (in the crypts).
- +/-Collagen band (pink material in mucosa) - "Collagenous sprue"; must encompass ~25% of mucosa.
Notes:
- If you see acute inflammatory cells, i.e. neutrophils, consider Giardiasis and other infectious etiologies.
- Biopsy should consist of 2-3 sites. In children it is important to sample the duodenal cap, as it is the only affected site in ~10% of cases.
- Flat lesions without IELs are unlikely to be celiac sprue.
- Mucosa erosions are rare in celiac sprue; should prompt consideration of an alternate diagnosis (infection, medications, Crohn's disease).
- Biagi et al.[10] count twenty cells in five (villi) tips.
DDx
- Giardiasis.
- Have giardia organisms.
- Always consider Giardiasis and especially on exams.
- Whipple's disease (very rare).
- Abundant macrophages should make one suspicious.
- Autoimmune enteropathy.
- Super duper rare.
Image
Refractory sprue
- Type I: CD3 ~= CD8.
- Type II: CD3 20% + less than CD8.
Grading
Many pathologists do not grade celiac sprue.
Marsh
The Marsh system, also Marsh-Oberhuber:[11]
| Marsh score | Descriptors | Villi | Intraepithelial lymphocytes (IELs) |
Crypts |
| Normal (Marsh 0) | normal | normal villi | < 40 / 100 epithelial cells | normal crypts |
| Marsh 1 | IELs increased | normal villi | > 40 / 100 epithelial cells | normal crypts |
| Marsh 2 | hypertrophic crypts, IELs | normal villi | > 40 / 100 epithelial cells | hypertrophic crypts |
| Marsh 3a | partial villous atrophy / blunted villi (mild) | mild atrophy | > 40 / 100 epithelial cells | hypertrophic crypts |
| Marsh 3b | moderate-to-marked villous atrophy / blunted villi (moderate-to-marked) |
marked atrophy | > 40 / 100 epithelial cells | hypertrophic crypts |
| Marsh 3c | total villous atrophy, flattened mucosa | absent; flat as a pancake | > 40 / 100 epithelial cells | hypertrophic crypts |
Simplified Marsh/Corazza
A simplified Marsh system - based (only) on villous architecture:[12]
| Grade | Similar Marsh grade | Descriptors | Alternate descriptors |
| A | Marsh 1 | well-formed villi, IELs > 25/100 enterocytes | normal villous architecture |
| B1 | Marsh 3a | partial villous atrophy; villous-crypt ratio < 3:1 | blunted villi |
| B2 | Marsh 3c | total villous atrophy | flattened mucosa |
Notes:
- Villous atrophy can be assessed endoscopically.[13]
IHC
- CD3 -- marks the IELs.[10]
Sign out
DUODENUM, BIOPSY: - SMALL BOWEL MUCOSA WITH BRUNNER'S GLANDS AND AN INCREASE OF INTRAEPITHELIAL LYMPHOCYTES (>50 LYMPHOCYTES/100 ENTEROCYTES), A PRESERVATION OF VILLOUS ARCHITECTURE AND CRYPTS WITHIN NORMAL LIMITS, SEE COMMENT. COMMENT: The findings are consistent with celiac disease, Marsh classification 1.
DUODENUM, BIOPSY: - SMALL BOWEL MUCOSA WITH BRUNNER'S GLANDS, AN INCREASE OF INTRAEPITHELIAL LYMPHOCYTES (>60 LYMPHOCYTES/100 ENTEROCYTES), AND A BLUNTED VILLOUS ARCHITECTURE, SEE COMMENT. COMMENT: The findings are consistent with celiac disease, Marsh classification 3a.
See also
References
- ↑ Greenwald, J.; Heng, M. (2007). Toronto Notes for Medical Students 2007 (2007 ed.). The Toronto Notes Inc. for Medical Students Inc.. pp. D22. ISBN 978-0968592878.
- ↑ Kumar, V.; Jarzabek-Chorzelska, M.; Sulej, J.; Karnewska, K.; Farrell, T.; Jablonska, S. (Nov 2002). "Celiac disease and immunoglobulin a deficiency: how effective are the serological methods of diagnosis?". Clin Diagn Lab Immunol 9 (6): 1295-300. PMID 12414763.
- ↑ Smerud, HK.; Fellström, B.; Hällgren, R.; Osagie, S.; Venge, P.; Kristjánsson, G. (Aug 2009). "Gluten sensitivity in patients with IgA nephropathy.". Nephrol Dial Transplant 24 (8): 2476-81. doi:10.1093/ndt/gfp133. PMID 19332868.
- ↑ Messmann, H. (Apr 2001). "Squamous cell cancer of the oesophagus.". Best Pract Res Clin Gastroenterol 15 (2): 249-65. doi:10.1053/bega.2000.0172. PMID 11355914.
- ↑ West, RA.; McNeill, RW. (Dec 1975). "Maxillary alveolar hyperplasia, diagnosis and treatment planning.". J Maxillofac Surg 3 (4): 239-50. PMID 1060711.
- ↑ Rampertab, SD.; Fleischauer, A.; Neugut, AI.; Green, PH. (Aug 2003). "Risk of duodenal adenoma in celiac disease.". Scand J Gastroenterol 38 (8): 831-3. PMID 12940435.
- ↑ URL: http://www.mayomedicallaboratories.com/test-catalog/Clinical+and+Interpretive/82587. Accessed on: 13 August 2012.
- ↑ Matthias, T.; Pfeiffer, S.; Selmi, C.; Eric Gershwin, M. (Apr 2010). "Diagnostic challenges in celiac disease and the role of the tissue transglutaminase-neo-epitope.". Clin Rev Allergy Immunol 38 (2-3): 298-301. doi:10.1007/s12016-009-8160-z. PMID 19629760.
- ↑ Cotran, Ramzi S.; Kumar, Vinay; Fausto, Nelson; Nelso Fausto; Robbins, Stanley L.; Abbas, Abul K. (2005). Robbins and Cotran pathologic basis of disease (7th ed.). St. Louis, Mo: Elsevier Saunders. pp. 843. ISBN 0-7216-0187-1.
- ↑ 10.0 10.1 10.2 Biagi F, Luinetti O, Campanella J, et al. (August 2004). "Intraepithelial lymphocytes in the villous tip: do they indicate potential coeliac disease?". J. Clin. Pathol. 57 (8): 835–9. doi:10.1136/jcp.2003.013607. PMC 1770380. PMID 15280404. https://www.ncbi.nlm.nih.gov/pmc/articles/PMC1770380/.
- ↑ 11.0 11.1 Oberhuber G, Granditsch G, Vogelsang H (October 1999). "The histopathology of coeliac disease: time for a standardized report scheme for pathologists". Eur J Gastroenterol Hepatol 11 (10): 1185–94. PMID 10524652.
- ↑ 12.0 12.1 Corazza GR, Villanacci V, Zambelli C, et al. (July 2007). "Comparison of the interobserver reproducibility with different histologic criteria used in celiac disease". Clin. Gastroenterol. Hepatol. 5 (7): 838–43. doi:10.1016/j.cgh.2007.03.019. PMID 17544877.
- ↑ Ciaccio EJ, Bhagat G, Tennyson CA, Lewis SK, Hernandez L, Green PH (September 2010). "Quantitative Assessment of Endoscopic Images for Degree of Villous Atrophy in Celiac Disease". Dig Dis Sci. doi:10.1007/s10620-010-1371-6. PMID 20844959.
External links
Review article(s)
- Serra S, Jani PA (November 2006). "An approach to duodenal biopsies". J. Clin. Pathol. 59 (11): 1133–50. doi:10.1136/jcp.2005.031260. PMC 1860495. PMID 16679353. http://www.ncbi.nlm.nih.gov/pmc/articles/PMC1860495/?tool=pubmed.