Mucinous cystadenoma of the ovary
Jump to navigation
Jump to search
Mucinous cystadenoma of the ovary, also ovarian mucinous cystadenoma, is a common benign ovarian tumour.
| Mucinous cystadenoma of the ovary | |
|---|---|
| Diagnosis in short | |
|
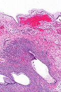
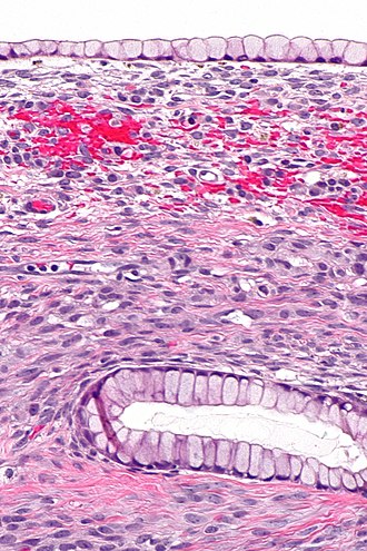
Ovarian mucinous cystadenoma. H&E stain. | |
|
| |
| LM | cysts lined by a simple mucinous epithelium, no cytologic atypia |
| LM DDx | seromucinous borderline tumour of the ovary, mucinous borderline tumour of the ovary |
| Molecular | +/-KRAS mutation |
| Gross | multiloculated cystic lesion, thin cyst walls/no solid areas |
| Site | ovary - see ovarian tumours |
|
| |
| Prevalence | common |
| Prognosis | benign |
| Clin. DDx | other ovarian tumours - esp. mucinous ones, and mucinous appendiceal lesions |
| Treatment | cystectomy/oophorectomy |
It is unrelated to mucinous cystadenoma of the appendix.
General
Gross
- Usually multiloculated.
- May be very large large.[3]
- No solid areas/thin cyst walls.
Images
Microscopic
Features:
- Cysts lined by a simple mucinous epithelium.
- No cytologic atypia.
Note:
- A borderline component may be present but must be <10% of the tumour.[4]
- Lesions with <10% borderline component are known as mucinous cystadenoma of the ovary with focal proliferation or mucinous cystadenoma of the ovary with focal atypia.
DDx:
Images
Molecular
- KRAS mutations common ~ 56% of mucinous cystadenomas in one series.[5]
Sign out
Left Ovarian Cyst, Excision: - Mucinous cystadenoma.
Mucinous cystadenoma with focal proliferation
Left Ovarian Cyst, Excision: - Mucinous cystadenoma with focal proliferation, see comment. Comment: The proliferative component is less than 10% of the lesion.
See also
References
- ↑ Pongsuvareeyakul, T.; Khunamornpong, S.; Settakorn, J.; Sukpan, K.; Suprasert, P.; Siriaunkgul, S. (Mar 2012). "Accuracy of frozen-section diagnosis of ovarian mucinous tumors.". Int J Gynecol Cancer 22 (3): 400-6. doi:10.1097/IGC.0b013e31823dc328. PMID 22246404.
- ↑ Hart WR (January 2005). "Mucinous tumors of the ovary: a review". Int. J. Gynecol. Pathol. 24 (1): 4–25. PMID 15626914.
- ↑ Leys, CM.; Gasior, AC.; Hornberger, LL.; St Peter, SD. (Apr 2012). "Laparoscopic resection of massive ovarian mucinous cystadenoma.". J Laparoendosc Adv Surg Tech A 22 (3): 307-10. doi:10.1089/lap.2011.0435. PMID 22283565.
- ↑ Nucci, Marisa R.; Oliva, Esther (2009). Gynecologic Pathology: A Volume in Foundations in Diagnostic Pathology Series (1st ed.). Churchill Livingstone. pp. 416. ISBN 978-0443069208.
- ↑ Cuatrecasas, M.; Villanueva, A.; Matias-Guiu, X.; Prat, J. (Apr 1997). "K-ras mutations in mucinous ovarian tumors: a clinicopathologic and molecular study of 95 cases.". Cancer 79 (8): 1581-6. PMID 9118042.
.