Difference between revisions of "Urothelial papilloma"

From Libre Pathology
Jump to navigation Jump to search
 
Line 72: Line 72:
- Urothelial papilloma.   
- Urothelial papilloma.   
</pre>
</pre>
===Microscopic===
The sections show superficial fragments of a papillary urothelial lesion. The cytology and thickness is that of normal urothelium. No proliferation is apparent.


==See also==
==See also==

Latest revision as of 18:19, 19 September 2022

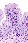
Urothelial papilloma
Diagnosis in short

Urothelial papilloma. H&E stain.

LM papillary fronds with minimal branching or fusion, cytology and thickness of normal urothelium, no mitoses
LM DDx low grade papillary urothelial carcinoma, PUNLMP
Site urothelium - typically urinary bladder

Prevalence uncommon
Prognosis benign
Clin. DDx other papillary lesions

Urothelial papilloma is a rare benign lesion of the urothelium.

General

  • Rare.[1]
  • Males > females (1.9:1).[1]

Notes:

  • If the person has a history of a low grade papillary urothelial carcinoma... it is likely a low grade papillary urothelial carcinoma.
  • These cases are a consensus diagnosis, i.e. you show it to a colleague... if they agree you can call it.

Gross

  • Exophytic lesion.

Microscopic

Features:[2]

  • Papillary fronds.
  • Minimal branching or fusion.
  • Cytological features of normal urothelium.
    • Normal urothelium approx. 2x the size of stromal lymphocytes.[3]
  • No mitoses.
  • Thickness < 7 cells.[citation needed]

DDx:

Images

Sign out

Urinary Bladder, Biopsy: 
	- Urothelial papilloma.  

Microscopic

The sections show superficial fragments of a papillary urothelial lesion. The cytology and thickness is that of normal urothelium. No proliferation is apparent.

See also

References

  1. 1.0 1.1 Al Bashir, S.; Yilmaz, A.; Gotto, G.; Trpkov, K. (Jan 2014). "Long term outcome of primary urothelial papilloma: a single institution cohort.". Pathology 46 (1): 37-40. doi:10.1097/PAT.0000000000000029. PMID 24300727.
  2. Humphrey, Peter A; Dehner, Louis P; Pfeifer, John D (2008). The Washington Manual of Surgical Pathology (1st ed.). Lippincott Williams & Wilkins. pp. 310. ISBN 978-0781765275.
  3. Zhou, Ming; Magi-Galluzzi, Cristina (2006). Genitourinary Pathology: A Volume in Foundations in Diagnostic Pathology Series (1st ed.). Churchill Livingstone. pp. 161. ISBN 978-0443066771.