Difference between revisions of "Craniopharyngioma"
Jump to navigation
Jump to search
(→Image) |
Jensflorian (talk | contribs) (The oldest specimen from 1828 is displayed in the pathological-anatomical museum of Vienna.) |
||
| (18 intermediate revisions by 3 users not shown) | |||
| Line 1: | Line 1: | ||
{{ Infobox diagnosis | {{ Infobox diagnosis | ||
| Name = Adamantinomatous craniopharyngioma | | Name = Adamantinomatous craniopharyngioma | ||
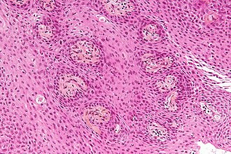
| Image = Adamantinomatous_craniopharyngioma_-_very_low_mag.jpg | | Image = Adamantinomatous_craniopharyngioma_-_very_low_mag.jpg | ||
| Width = | | Width = | ||
| Caption = Adamantinomatous craniopharyngioma. [[HPS stain]]. | | Caption = Adamantinomatous craniopharyngioma. [[HPS stain]]. | ||
| Line 61: | Line 61: | ||
| Tx = | | Tx = | ||
}} | }} | ||
'''Craniopharyngioma''' is a benign [[neuropathology tumour]]. | '''Craniopharyngioma''' is a benign epithelial [[neuropathology tumour]]. | ||
It is subdivided into '''papillary craniopharyngioma''' and '''adamantinomatous craniopharyngioma'''. | It is subdivided into '''papillary craniopharyngioma''' and '''adamantinomatous craniopharyngioma'''. | ||
| Line 67: | Line 67: | ||
==General== | ==General== | ||
*Develop from remains of Rathke's pouch or squamous epithelial cell rests.<ref name=pmid17425791>{{Cite journal | last1 = Garnett | first1 = MR. | last2 = Puget | first2 = S. | last3 = Grill | first3 = J. | last4 = Sainte-Rose | first4 = C. | title = Craniopharyngioma. | journal = Orphanet J Rare Dis | volume = 2 | issue = | pages = 18 | month = | year = 2007 | doi = 10.1186/1750-1172-2-18 | PMID = 17425791 }}</ref> | *Develop from remains of Rathke's pouch or squamous epithelial cell rests.<ref name=pmid17425791>{{Cite journal | last1 = Garnett | first1 = MR. | last2 = Puget | first2 = S. | last3 = Grill | first3 = J. | last4 = Sainte-Rose | first4 = C. | title = Craniopharyngioma. | journal = Orphanet J Rare Dis | volume = 2 | issue = | pages = 18 | month = | year = 2007 | doi = 10.1186/1750-1172-2-18 | PMID = 17425791 }}</ref> | ||
*corresponds histologically to WHO grade I. | |||
Subtypes:<ref name=pmid17425791/> | Subtypes:<ref name=pmid17425791/> | ||
| Line 79: | Line 80: | ||
===Papillary=== | ===Papillary=== | ||
*Adults individuals.<ref name=pmid6696166>{{Cite journal | last1 = Giangaspero | first1 = F. | last2 = Burger | first2 = PC. | last3 = Osborne | first3 = DR. | last4 = Stein | first4 = RB. | title = Suprasellar papillary squamous epithelioma ("papillary craniopharyngioma"). | journal = Am J Surg Pathol | volume = 8 | issue = 1 | pages = 57-64 | month = Jan | year = 1984 | doi = | PMID = 6696166 }}</ref> | *Adults individuals.<ref name=pmid6696166>{{Cite journal | last1 = Giangaspero | first1 = F. | last2 = Burger | first2 = PC. | last3 = Osborne | first3 = DR. | last4 = Stein | first4 = RB. | title = Suprasellar papillary squamous epithelioma ("papillary craniopharyngioma"). | journal = Am J Surg Pathol | volume = 8 | issue = 1 | pages = 57-64 | month = Jan | year = 1984 | doi = | PMID = 6696166 }}</ref> | ||
* | * Typically contain BRAF V600E mutations.<ref name=pmid24413733>{{Cite journal | last1 = Brastianos | first1 = PK. | last2 = Taylor-Weiner | first2 = A. | last3 = Manley | first3 = PE. | last4 = Jones | first4 = RT. | last5 = Dias-Santagata | first5 = D. | last6 = Thorner | first6 = AR. | last7 = Lawrence | first7 = MS. | last8 = Rodriguez | first8 = FJ. | last9 = Bernardo | first9 = LA. | title = Exome sequencing identifies BRAF mutations in papillary craniopharyngiomas. | journal = Nat Genet | volume = 46 | issue = 2 | pages = 161-5 | month = Feb | year = 2014 | doi = 10.1038/ng.2868 | PMID = 24413733 }}</ref> | ||
*Usually solid. | *Usually solid. | ||
==Clinical features== | |||
*Usu. located in the suprasellar cistern. | |||
**Rare locations: Cerebellopontine angle, sphenoid sinus, third ventricle. | |||
*Visual problems. | |||
*Endocrine deficiencies. | |||
*Hypothalamic dysfunction (obesity). | |||
*More frequent in asia than in Europe/US. | |||
==Imaging== | |||
Radiology:<ref name=pmid17425791/> | |||
*Calcifications (adamantinous type). | |||
*Contrast enhancing. | |||
*Cystic portions. | |||
==Gross== | ==Gross== | ||
*Cystic mass filled with motor oil-like fluid.<ref name=pmid21584897>{{Cite journal | last1 = Fernandez-Miranda | first1 = JC. | last2 = Gardner | first2 = PA. | last3 = Snyderman | first3 = CH. | last4 = Devaney | first4 = KO. | last5 = Strojan | first5 = P. | last6 = Suárez | first6 = C. | last7 = Genden | first7 = EM. | last8 = Rinaldo | first8 = A. | last9 = Ferlito | first9 = A. | title = Craniopharyngioma: a pathologic, clinical, and surgical review. | journal = Head Neck | volume = 34 | issue = 7 | pages = 1036-44 | month = Jul | year = 2012 | doi = 10.1002/hed.21771 | PMID = 21584897 }}</ref> | *Cystic mass filled with motor oil-like fluid.<ref name=pmid21584897>{{Cite journal | last1 = Fernandez-Miranda | first1 = JC. | last2 = Gardner | first2 = PA. | last3 = Snyderman | first3 = CH. | last4 = Devaney | first4 = KO. | last5 = Strojan | first5 = P. | last6 = Suárez | first6 = C. | last7 = Genden | first7 = EM. | last8 = Rinaldo | first8 = A. | last9 = Ferlito | first9 = A. | title = Craniopharyngioma: a pathologic, clinical, and surgical review. | journal = Head Neck | volume = 34 | issue = 7 | pages = 1036-44 | month = Jul | year = 2012 | doi = 10.1002/hed.21771 | PMID = 21584897 }}</ref> | ||
**May not be seen in the papillary variant of craniopharyngioma. | **May not be seen in the papillary variant of craniopharyngioma. | ||
*Calcified - adamantinomatous type only. | *Calcified - adamantinomatous type only. | ||
*Solid & cystic. | *Solid & cystic. | ||
====Images==== | |||
<gallery> | |||
File:Craniopharyngioma1.jpg|Calcifications in adamantinomatous craniopharyngioma. (WC/Garnett et al.) | |||
File:Papillary craniopharyngioma.jpg|Autopsy case with papillary craniopharyngioma of the 3rd ventricle. (WC/AFIP) | |||
File:Adamantinomatous craniopharyngioma.jpg|Cholesterol crystals, a typical finding in the cyst fluid, are readily identified by examination under polarized light. (WC/AFIP) | |||
</gallery> | |||
==Microscopic== | ==Microscopic== | ||
===Adamantinomatous=== | ===Adamantinomatous=== | ||
Features (adamantinomatous):<ref name=Ref_DCHH184>{{Ref DCHH|184}}</ref> | Features (adamantinomatous):<ref name=Ref_DCHH184>{{Ref DCHH|184}}</ref> | ||
*Trabecular squamous epithelium bordered by palisaded columnar epithelum. | |||
*Lobules with loosely distributed epithelia ("stellate reticulum"). | |||
*Well-circumscribed (or pseudoinvasive border). | *Well-circumscribed (or pseudoinvasive border). | ||
*Multicystic. | *Multicystic. | ||
| Line 98: | Line 120: | ||
*Bland nuclei (with occ. small nucleoli). | *Bland nuclei (with occ. small nucleoli). | ||
*"Wet" keratin - nests of whorled keratin. | *"Wet" keratin - nests of whorled keratin. | ||
*Calcifications (non-psammomatous). | *Calcifications (non-[[psammoma bodies|psammomatous]]). | ||
====Images==== | ====Images==== | ||
<gallery> | <gallery> | ||
Image:Adamantinomatous_craniopharyngioma_-_very_low_mag.jpg | Adamantinomatous craniopharyngioma - very low mag. (WC/Nephron) | Image:Adamantinomatous_craniopharyngioma_-_very_low_mag.jpg | Adamantinomatous craniopharyngioma - very low mag. (WC/Nephron) | ||
| Line 115: | Line 136: | ||
Image:CNS Craniopharyngeoma Adamantinomatous MP MP PA.JPG|Adamantinomatous Craniopharyngeoma - medium power (SKB) | Image:CNS Craniopharyngeoma Adamantinomatous MP MP PA.JPG|Adamantinomatous Craniopharyngeoma - medium power (SKB) | ||
Image:CNS Craniopharyngeoma Adamantinomatous 2 MP PA.JPG|Adamantinomatous Craniopharyngeoma - medium power (SKB) | Image:CNS Craniopharyngeoma Adamantinomatous 2 MP PA.JPG|Adamantinomatous Craniopharyngeoma - medium power (SKB) | ||
Image:Craniopharyngeoma CNS infiltration.jpg|Brain infiltration. "Wet" keratin present in two tumor protrusions. The surrounding CNS shows extensive piloid gliosis. (WC/jensflorian) | |||
Image:Craniopharyngioma histology.jpg|Adamantinomatous Craniopharyngeoma - Trabecular growth pattern. (WC/jensflorian) | |||
Image:Craniopharyngioma_HE_frozen.jpg|Adamantinomatous Craniopharyngeoma - Intraoperative frozen section. (WC/jensflorian) | |||
Image:CNS | |||
Image: | |||
Image: | |||
</gallery> | </gallery> | ||
| Line 135: | Line 150: | ||
*+/-Goblet cell-like formations (rare). | *+/-Goblet cell-like formations (rare). | ||
==== | ====Images==== | ||
<gallery> | <gallery> | ||
Image: Papillary craniopharyngioma - intermed mag.jpg | Papillary craniopharyngioma - intermed. mag. (WC/Nephron) | |||
Image: Papillary craniopharyngioma - high mag.jpg | Papillary craniopharyngioma - high mag. (WC/Nephron) | |||
Image: Papillary craniopharyngioma - very high mag.jpg | Papillary craniopharyngioma - very high mag. (WC/Nephron) | |||
Image:CNS Craniopharyngeoma Papillary LP2 PA.JPG|Papillary Craniopharyngeoma - low power (SKB) | |||
Image:CNS Craniopharyngeoma Papillary LP PA.JPG|Papillary Craniopharyngeoma - low power (SKB) | |||
Image:CNS Craniopharyngeoma Papillary LP PA (2) copy.jpg|Papillary Craniopharyngeoma - low power (SKB) | |||
Image:CNS Craniopharyngeoma Papillary MP PA.JPG|Papillary Craniopharyngeoma - medium power (SKB) | |||
Image:CNS Craniopharyngioma Papillary 3 MP PA.JPG|Papillary Craniopharyngeoma - medium power (SKB) | |||
</gallery> | </gallery> | ||
www: | www: | ||
*[http://library.med.utah.edu/WebPath/jpeg4/ENDO115.jpg Craniopharyngioma (med.utah.edu)].<ref>URL: [http://library.med.utah.edu/WebPath/jpeg4/ENDO115.jpg http://library.med.utah.edu/WebPath/jpeg4/ENDO115.jpg]. Accessed on: 6 December 2010.</ref> | *[http://library.med.utah.edu/WebPath/jpeg4/ENDO115.jpg Craniopharyngioma (med.utah.edu)].<ref>URL: [http://library.med.utah.edu/WebPath/jpeg4/ENDO115.jpg http://library.med.utah.edu/WebPath/jpeg4/ENDO115.jpg]. Accessed on: 6 December 2010.</ref> | ||
*[http://www.cnsatlas.com/cgi-bin/nephrology/preview?ADD=0&LESION_ID=382&BOOK_ID=5&POST=toc Craniopharyngioma at cnsatlas.com].<ref>URL:[http://www.cnsatlas.com/cgi-bin/nephrology/preview?ADD=0&LESION_ID=382&BOOK_ID=5&POST=toc]. Accessed on: 21 March 2015.</ref> | |||
*[http://neuropathology-web.org/chapter7/chapter7dMiscellaneous.html Craniopharyngioma at Neuropathology-web.org]<ref>URL:http://neuropathology-web.org/chapter7/chapter7dMiscellaneous.html]. Accessed on: 21 March 2015.</ref> | |||
===Differential diagnosis=== | |||
*Xanthogranuloma | |||
*Rathke cyst | |||
*Epidermoid | |||
*Well-differentiated carcinoma metastasis | |||
==Trivia== | |||
*The oldest specimen from 1828 is displayed in the pathological-anatomical museum of Vienna.<ref>{{Cite journal | last1 = Pascual | first1 = JM. | last2 = Prieto | first2 = R. | last3 = Rosdolsky | first3 = M. | last4 = Hofecker | first4 = V. | last5 = Strauss | first5 = S. | last6 = Winter | first6 = E. | last7 = Ulrich | first7 = W. | title = Joseph Engel (1816-1899), author of a meaningful dissertation on tumors of the pituitary infundibulum: his report on the oldest preserved whole craniopharyngioma specimen. | journal = Virchows Arch | volume = | issue = | pages = | month = Sep | year = 2019 | doi = 10.1007/s00428-019-02664-z | PMID = 31511968 }}</ref> | |||
==See also== | ==See also== | ||
| Line 149: | Line 183: | ||
{{Reflist|2}} | {{Reflist|2}} | ||
[[Category:Neuropathology]] | [[Category:Neuropathology tumours]] | ||
[[Category:Diagnosis]] | |||
[[Category:Papillary tumour]] | |||
Latest revision as of 11:56, 11 October 2019
| Adamantinomatous craniopharyngioma | |
|---|---|
| Diagnosis in short | |
|
Adamantinomatous craniopharyngioma. HPS stain. | |
|
| |
| LM | well-circumscribed (or pseudoinvasive border), multicystic, small-to-medium sized cells with moderate amount of basophilic cytoplasm, bland nuclei (with occ. small nucleoli), "wet" keratin (nests of whorled keratin), calcifications |
| Gross | cystic mass filled with motor oil-like fluid |
| Site | sella turcica |
|
| |
| Clinical history | adults & children |
| Radiology | classically calcified |
| Prognosis | benign |
| Clin. DDx | other sella turcica lesions |
| Papillary craniopharyngioma | |
|---|---|
| Diagnosis in short | |
|
Papillary craniopharyngioma. HPS stain. | |
|
| |
| LM | non-keratinized squamous epithelium (without nuclear atypia), fibrovascular cores (required for papillary) |
| Site | sella turcica |
|
| |
| Clinical history | adults |
| Prognosis | benign |
| Clin. DDx | other sella turcica lesions |
Craniopharyngioma is a benign epithelial neuropathology tumour.
It is subdivided into papillary craniopharyngioma and adamantinomatous craniopharyngioma.
General
- Develop from remains of Rathke's pouch or squamous epithelial cell rests.[1]
- corresponds histologically to WHO grade I.
Subtypes:[1]
- Adamantinomatous type.
- Squamous papillary type.
Adamantinomatous
- Adults and children.
- Typically contain mutations in CTNNB1 (the gene that encodes β-catenin).[2]
- Usually intranuclear β-catenin immunohistochemical positivity.
Papillary
Clinical features
- Usu. located in the suprasellar cistern.
- Rare locations: Cerebellopontine angle, sphenoid sinus, third ventricle.
- Visual problems.
- Endocrine deficiencies.
- Hypothalamic dysfunction (obesity).
- More frequent in asia than in Europe/US.
Imaging
Radiology:[1]
- Calcifications (adamantinous type).
- Contrast enhancing.
- Cystic portions.
Gross
- Cystic mass filled with motor oil-like fluid.[5]
- May not be seen in the papillary variant of craniopharyngioma.
- Calcified - adamantinomatous type only.
- Solid & cystic.
Images
Microscopic
Adamantinomatous
Features (adamantinomatous):[6]
- Trabecular squamous epithelium bordered by palisaded columnar epithelum.
- Lobules with loosely distributed epithelia ("stellate reticulum").
- Well-circumscribed (or pseudoinvasive border).
- Multicystic.
- Small-to-medium sized cells with moderate amount of basophilic cytoplasm.
- Bland nuclei (with occ. small nucleoli).
- "Wet" keratin - nests of whorled keratin.
- Calcifications (non-psammomatous).
Images
Papillary
Features (papillary):[7]
- Non-keratinized squamous epithelium (without nuclear atypia).
- Fibrovascular cores (required for papillary).
Notes:
- +/-Cilia (rare).
- +/-Goblet cell-like formations (rare).
Images
www:
- Craniopharyngioma (med.utah.edu).[8]
- Craniopharyngioma at cnsatlas.com.[9]
- Craniopharyngioma at Neuropathology-web.org[10]
Differential diagnosis
- Xanthogranuloma
- Rathke cyst
- Epidermoid
- Well-differentiated carcinoma metastasis
Trivia
- The oldest specimen from 1828 is displayed in the pathological-anatomical museum of Vienna.[11]
See also
References
- ↑ 1.0 1.1 1.2 Garnett, MR.; Puget, S.; Grill, J.; Sainte-Rose, C. (2007). "Craniopharyngioma.". Orphanet J Rare Dis 2: 18. doi:10.1186/1750-1172-2-18. PMID 17425791.
- ↑ Preda, V.; Larkin, SJ.; Karavitaki, N.; Ansorge, O.; Grossman, AB. (Oct 2014). "The Wnt Signalling Cascade and the Adherens Junction Complex in Craniopharyngioma Tumorigenesis.". Endocr Pathol. doi:10.1007/s12022-014-9341-8. PMID 25355426.
- ↑ Giangaspero, F.; Burger, PC.; Osborne, DR.; Stein, RB. (Jan 1984). "Suprasellar papillary squamous epithelioma ("papillary craniopharyngioma").". Am J Surg Pathol 8 (1): 57-64. PMID 6696166.
- ↑ Brastianos, PK.; Taylor-Weiner, A.; Manley, PE.; Jones, RT.; Dias-Santagata, D.; Thorner, AR.; Lawrence, MS.; Rodriguez, FJ. et al. (Feb 2014). "Exome sequencing identifies BRAF mutations in papillary craniopharyngiomas.". Nat Genet 46 (2): 161-5. doi:10.1038/ng.2868. PMID 24413733.
- ↑ Fernandez-Miranda, JC.; Gardner, PA.; Snyderman, CH.; Devaney, KO.; Strojan, P.; Suárez, C.; Genden, EM.; Rinaldo, A. et al. (Jul 2012). "Craniopharyngioma: a pathologic, clinical, and surgical review.". Head Neck 34 (7): 1036-44. doi:10.1002/hed.21771. PMID 21584897.
- ↑ Tadrous, Paul.J. Diagnostic Criteria Handbook in Histopathology: A Surgical Pathology Vade Mecum (1st ed.). Wiley. pp. 184. ISBN 978-0470519035.
- ↑ Perry, Arie; Brat, Daniel J. (2010). Practical Surgical Neuropathology: A Diagnostic Approach: A Volume in the Pattern Recognition series (1st ed.). Churchill Livingstone. pp. 406. ISBN 978-0443069826.
- ↑ URL: http://library.med.utah.edu/WebPath/jpeg4/ENDO115.jpg. Accessed on: 6 December 2010.
- ↑ URL:[1]. Accessed on: 21 March 2015.
- ↑ URL:http://neuropathology-web.org/chapter7/chapter7dMiscellaneous.html]. Accessed on: 21 March 2015.
- ↑ Pascual, JM.; Prieto, R.; Rosdolsky, M.; Hofecker, V.; Strauss, S.; Winter, E.; Ulrich, W. (Sep 2019). "Joseph Engel (1816-1899), author of a meaningful dissertation on tumors of the pituitary infundibulum: his report on the oldest preserved whole craniopharyngioma specimen.". Virchows Arch. doi:10.1007/s00428-019-02664-z. PMID 31511968.