Difference between revisions of "Sex cord-stromal tumours"
Jump to navigation
Jump to search
(→IHC) |
|||
| (12 intermediate revisions by the same user not shown) | |||
| Line 1: | Line 1: | ||
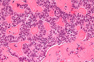
'''Sex cord-stromal tumours''' are a group of tumours found in the [[testis]] and [[ovary]] that arise from the cells that support the germ cells. | [[Image:Sex_cord_tumour_with_annular_tubules_-_2_-_very_high_mag.jpg|thumb|right|[[Sex cord tumour with annular tubules]] (SCTAT), a type of sex cord stromal tumour. [[H&E stain]].]] | ||
'''Sex cord-stromal tumours''' (abbreviated '''SCSTs''') are a group of tumours found in the [[testis]] and [[ovary]] that arise from the cells that support the germ cells. | |||
They are typically benign, but may be malignant. | |||
Some tumours classically found in the testis are also found in the ovary. | Some tumours classically found in the testis are also found in the ovary. | ||
| Line 6: | Line 9: | ||
*[[Leydig cell tumour]]. | *[[Leydig cell tumour]]. | ||
*[[Sertoli cell tumour]]. | *[[Sertoli cell tumour]]. | ||
*Primary signet ring stromal tumour.<ref name=pmid28739499>{{cite journal |authors=Michalova K, Michal M, Kazakov DV, Sedivcova M, Hes O, Hadravsky L, Agaimy A, Tretiakova M, Bacchi C, Hartmann A, Kuroda N, Bulimbasic S, Coric M, Antic T, Michal M |title=Primary signet ring stromal tumor of the testis: a study of 13 cases indicating their phenotypic and genotypic analogy to pancreatic solid pseudopapillary neoplasm |journal=Hum Pathol |volume=67 |issue= |pages=85–93 |date=September 2017 |pmid=28739499 |doi=10.1016/j.humpath.2017.07.010 |url=}}</ref> | |||
==Ovarian== | ==Ovarian== | ||
| Line 13: | Line 17: | ||
*[[Sertoli-Leydig cell tumour]]. | *[[Sertoli-Leydig cell tumour]]. | ||
*[[Sex cord tumour with annular tubules]] (SCTAT). | *[[Sex cord tumour with annular tubules]] (SCTAT). | ||
Arise from gonadal stroma: | |||
*[[Ovarian fibroma]].<ref name=pmid19332247/> | |||
*[[Thecoma]]. | |||
Others: | |||
*Unclassified gonadal stromal tumour.<ref name=pmid11294020>{{Cite journal | last1 = Sironi | first1 = M. | last2 = Santangelo | first2 = M. | last3 = Pasquinelli | first3 = G. | last4 = Spinelli | first4 = M. | title = [Benign unclassified tumor of the gonadal stroma: importance of alpha-inhibin expression]. | journal = Pathologica | volume = 93 | issue = 1 | pages = 50-6 | month = Feb | year = 2001 | doi = | PMID = 11294020 }}</ref> | |||
*[[Microcystic stromal tumour of the ovary]]. | |||
==Mixed== | |||
*[[Gynandroblastoma]].<ref name=pmid19332247>{{Cite journal | last1 = Koulouris | first1 = CR. | last2 = Penson | first2 = RT. | title = Ovarian stromal and germ cell tumors. | journal = Semin Oncol | volume = 36 | issue = 2 | pages = 126-36 | month = Apr | year = 2009 | doi = 10.1053/j.seminoncol.2008.12.004 | PMID = 19332247 }}</ref> | |||
==IHC== | |||
*Steroidogenic factor 1 (SF1) +ve.<ref name=pmid37621390>{{cite journal |authors=Satariano M, Losinski E, Lane J, Wegryn J |title=Adult-type granulosa cell tumor of the testis: A case report and review of the literature |journal=Urol Case Rep |volume=50 |issue= |pages=102532 |date=September 2023 |pmid=37621390 |pmc=10445446 |doi=10.1016/j.eucr.2023.102532 |url=}}</ref> | |||
*Calretinin +ve. | |||
*Inhibin A +ve. | |||
*SALL4 -ve. | |||
**Positive in (most) [[germ cell tumours]]. | |||
*FH -ve/+ve. | |||
**A ''fumarate hydratase-deficient testicular sex cord-stromal tumour'' has been proposed.<ref>{{cite journal |vauthors=Acosta AM, Colecchia M, Berney DM |title=Fumarate hydratase-deficient testicular sex cord-stromal tumour (FH-TSCST): proposal for reclassification of a subset of Leydig cell tumours with distinct molecular and clinicopathologic features |journal=Histopathology |volume=82 |issue=4 |pages=646–647 |date=March 2023 |pmid=36592067 |doi=10.1111/his.14859 |url=}}</ref> | |||
==See also== | ==See also== | ||
| Line 19: | Line 43: | ||
*[[Testis]]. | *[[Testis]]. | ||
*[[Uterine tumour resembling an ovarian sex cord stromal tumour]]. | *[[Uterine tumour resembling an ovarian sex cord stromal tumour]]. | ||
==References== | |||
{{Reflist|1}} | |||
[[Category:Genitourinary pathology]] | [[Category:Genitourinary pathology]] | ||
[[Category:Gynecologic pathology]] | [[Category:Gynecologic pathology]] | ||
Latest revision as of 21:02, 30 April 2025
Sex cord-stromal tumours (abbreviated SCSTs) are a group of tumours found in the testis and ovary that arise from the cells that support the germ cells.
They are typically benign, but may be malignant.
Some tumours classically found in the testis are also found in the ovary.
Testicular
- Leydig cell tumour.
- Sertoli cell tumour.
- Primary signet ring stromal tumour.[1]
Ovarian
Arise from gonadal stroma:
Others:
- Unclassified gonadal stromal tumour.[3]
- Microcystic stromal tumour of the ovary.
Mixed
IHC
- Steroidogenic factor 1 (SF1) +ve.[4]
- Calretinin +ve.
- Inhibin A +ve.
- SALL4 -ve.
- Positive in (most) germ cell tumours.
- FH -ve/+ve.
- A fumarate hydratase-deficient testicular sex cord-stromal tumour has been proposed.[5]
See also
- Germ cell tumours.
- Ovarian tumours.
- Testis.
- Uterine tumour resembling an ovarian sex cord stromal tumour.
References
- ↑ Michalova K, Michal M, Kazakov DV, Sedivcova M, Hes O, Hadravsky L, Agaimy A, Tretiakova M, Bacchi C, Hartmann A, Kuroda N, Bulimbasic S, Coric M, Antic T, Michal M (September 2017). "Primary signet ring stromal tumor of the testis: a study of 13 cases indicating their phenotypic and genotypic analogy to pancreatic solid pseudopapillary neoplasm". Hum Pathol 67: 85–93. doi:10.1016/j.humpath.2017.07.010. PMID 28739499.
- ↑ 2.0 2.1 Koulouris, CR.; Penson, RT. (Apr 2009). "Ovarian stromal and germ cell tumors.". Semin Oncol 36 (2): 126-36. doi:10.1053/j.seminoncol.2008.12.004. PMID 19332247.
- ↑ Sironi, M.; Santangelo, M.; Pasquinelli, G.; Spinelli, M. (Feb 2001). "[Benign unclassified tumor of the gonadal stroma: importance of alpha-inhibin expression].". Pathologica 93 (1): 50-6. PMID 11294020.
- ↑ Satariano M, Losinski E, Lane J, Wegryn J (September 2023). "Adult-type granulosa cell tumor of the testis: A case report and review of the literature". Urol Case Rep 50: 102532. doi:10.1016/j.eucr.2023.102532. PMC 10445446. PMID 37621390. https://www.ncbi.nlm.nih.gov/pmc/articles/PMC10445446/.
- ↑ "Fumarate hydratase-deficient testicular sex cord-stromal tumour (FH-TSCST): proposal for reclassification of a subset of Leydig cell tumours with distinct molecular and clinicopathologic features". Histopathology 82 (4): 646–647. March 2023. doi:10.1111/his.14859. PMID 36592067.